Recepce
pondělí–pátek
7:30–17:00 hodin
Ordinační hodiny
pondělí–pátek
7:30–18:00 hodin
Odběry a příjem vzorků
pondělí–pátek
7:30–17:00 hodin
DNA je základním stavebním kamenem života, dědičnosti, vývoje organismů a moderní medicíny. Na této stránce naleznete vysvětlení důležitých termínů a pojmů, které se s DNA a genetikou pojí. Připravte se na výlet do světa buňek, genů, chromozomů a alel, a odhalte tajemství dědičnosti a biologického dění. Přinášíme vám jedinečnou možnost prozkoumat svět genetiky a rozšířit své znalosti o těchto klíčových biologických konceptech.
Stejně jako jsou domy sestavovány z jednotlivých stavebních dílů, je i naše tělo tvořeno z jednotlivých prvků. Tyto prvky se nazývají buňky a jsou přítomny u všech živých organismů vyjma nejjednodušších forem života, tedy virů. I viry však musí pro zachování své existence do buněk vstupovat. Lze tedy říci, že buňky tvoří podstatu veškerého života.
Uvnitř buněk se nacházejí specializované struktury nezbytné pro jejich správné fungování (růst, pohyb, látková přeměna, dělení). V lidském těle je možné nalézt mnoho typů buněk. Naprostá většina z nich (vyjma červených krvinek) nese informace, které slouží jako stavební plány pro jednotlivé tkáně a orgány. Tyto informace jsou uloženy uvnitř rozsáhlé struktury označované jako jádro.
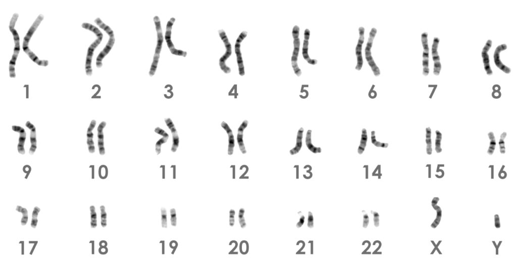
Genetická informace není v jádře uložena pouze v jediném řetězci DNA, ale je rozložena hned do několika takových řetězců, které jsou v jádře uspořádány do útvarů nazývaných chromozomy. V jaderných buňkách lidského těla se nachází 46 chromozomů, přičemž polovina z nich pochází od otce, druhá polovina od matky. Výjimku představují pouze buňky zárodečné (spermie a vajíčko), které vlastní pouze jednu sadu chromozomů, tedy 23. Splynutím vajíčka a spermie pak vzniká embryo s kompletní chromozomální výbavou.
Jednotlivé chromozomy se od sebe liší. Za autozomy je označováno 22 párů chromozomů, které nejsou specifické pro pohlaví. Zbývající pár představují pohlavní chromozomy X a Y, jejichž kombinace určuje pohlaví jedince. Sestava tvořená chromozomy XX je typická pro ženu, zatímco XY pro muže. O pohlaví jedince rozhodují spermie, které mohou nést buď chromozom X, nebo Y, naproti tomu vajíčko je vždy vybaveno chromozomem X.
Konkrétní forma genu podmiňující například barvu očí se nazývá alela. Každý gen je tvořen dvěma alelami (jedna od otce, jedna od matky) a jejich konkrétní kombinace se nazývá genotyp.
Genetická změna v sekvenci DNA, která se běžně vyskytuje v populaci (frekvence vyšší než 1 %), se nazývá polymorfismus. Polymorfní místa se liší v pořadí, počtu nebo typu bází (A, G, C, T). Pokud jde o záměnu jedné báze, mluvíme o jednobodovém polymorfismu (SNP). Četnost tohoto typu je u každého z nás přibližně 10 milionů. Genetické polymorfismy jsou nejen příčinou rozdílností lidí, ale také mohou být spojené s rozvojem geneticky podmíněných chorob. Mohou mít jak rizikový, tak protektivní charakter.
Relativně malá, ale důležitá skupina genů se nachází mimo jadernou DNA v buněčných organelách – mitochondriích. V buňkách se nachází stovky těchto důležitých organel, které obsahují genetický materiál kódující pouze několik genů. Většina genů potřebných pro chod mitochondrií je kódována jadernými geny. Mutace v mitochondriálních genech jsou spojeny s některými chorobami přenášenými po maternální linii. Mitochondrie pocházející ze spermie jsou totiž při oplodnění vajíčka ničeny. Z toho důvodu všechny mitochondrie v našem těle dědíme od matky. Matka přenáší mutace v mtDNA na všechny svoje děti, zatímco otec případnou poruchu mtDNA svým dětem nepředá.
Dědičnost je jedinečná schopnost živých organismů předávat z generace na generaci určité znaky a vlohy.
Jde o nepříliš častý typ dědičnosti, kdy je daný znak podmíněn přítomností nebo naopak nepřítomností pouze jednoho genu, respektive jeho alely. Jde tedy o geny velkého účinku, jinak také majorgeny, kterými jsou děděny tzv. kvalitativní znaky. Tyto geny jsou pro rozvoj znaku zcela nezbytné a ovlivnění dalšími geny bývá obvykle minimální nebo žádné. Tímto způsobem jsou často děděny nejrůznější choroby jako například Tay-Sachsova choroba nebo galaktosemie. V těchto případech je monogenní dědičnost výhodou, neboť do budoucna umožňuje aplikaci metod genové terapie, kde postačí ovlivnit nebo napravit daný gen tak, aby obnovil svou původní funkci, a tím se příznaky choroby zmírnily nebo zcela vymizely.
Polygenně vázaná dědičnost je typická pro naprostou většinu děděných znaků. To znamená, že každý fenotypový znak, například výška postavy, je ovlivněn působením mnoha různých genů a jejich konkrétních alel. Jedná se tudíž o geny malého účinku aneb minorgeny. U člověka i živočichů tvoří naprostou většinu všech genů. Tímto způsobem je děděna i celá řada běžných i méně běžných chorob, například ischemická choroba srdeční. Mnoho z nich je navíc tzv. multifaktoriálních, což znamená, že o jejich rozvoji rozhoduje kromě genetické složky i složka negenetická, tedy vlivy prostředí, životního stylu apod. Tato skutečnost poněkud ztěžuje možnost predikce rozvoje příslušných poruch a chorob.
Jelikož je člověk diploidní organismus, nese v každé své buňce vždy dvě alely od každého genu. Pokud jsou obě tyto alely shodné, označujeme takového jedince jako homozygotního pro daný znak. Můžeme rozlišovat dominantního a recesivního homozygota dle toho, zda se jedná o dominantní nebo recesivní alelu daného genu. Všichni potomci takového jedince zdědí vždy jednu z těchto totožných alel.
Pakliže se v genomu jedince vyskytují dvě různé alely daného genu, mluvíme o heterozygotovi v daném znaku. To znamená, že je nositelem jak dominantní, tak recesivní alely. Fenotypový projev pak bude odpovídat dominantní alele, neboť dominantní alela zcela potlačí projev recesivní alely, eventuálně bude její projev pouze částečný, pokud se jedná o případ tzv. neúplné dominance.